医院新闻
滨州市中医院成功完成首例骨科手术机器人辅助下腰椎内镜融合手术
8月3日,滨州市中医医院椎间盘治疗中心刘维克主任与其团队,为一位严重腰椎滑脱患者,成功实施在骨科手术机器人辅助下脊柱内镜融合术,并取得非常满意的疗效,在全省处于领先地位。
【背景介绍】
腰椎滑脱症是脊柱常见疾病,它完全有别于腰椎间盘突出症。通俗讲腰椎滑脱症就是腰脊椎之间的相互错位。滑脱的椎体可引起或加重椎管狭窄,刺激或挤压神经,引起腰痛、下肢痛、下肢麻木、甚至大、小便功能障碍等症状。另外,滑脱后腰背肌的保护性收缩可引起腰背肌劳损,产生腰背痛。

腰椎滑脱症症状不明显者可采取保守治疗,避免劳累、适当卧床休息等。严重的腰椎滑脱症需要手术治疗。神经减压脊柱融合内固定术为现在主流的手术方式,但该手术创伤大、出血多、术后康复时间长,术后容易遗留顽固性腰痛等给接受此种手术的患者带来巨大的心理负担。
近年来脊柱内镜技术和手术器械的蓬勃发展,使脊柱内镜下融合技术成为现实。这种手术术式有创伤小、出血少、术后卧床时间短等优势弥补了传统开放手术短板。
【病例介绍】
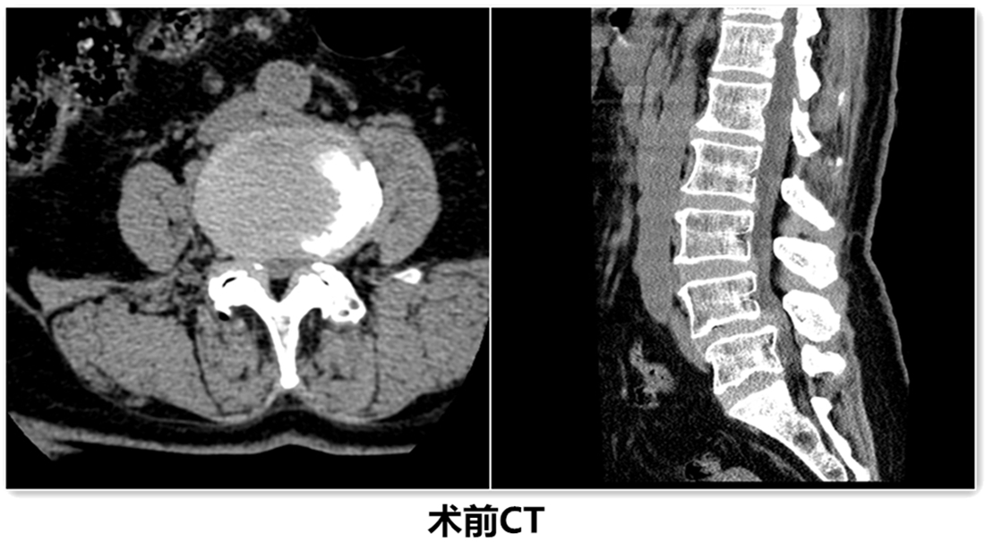
患者郭某,老年女性,因“反复腰部疼痛伴右下肢疼痛、麻木,不能行走”经多家医院诊治效果不好,遂来我院治疗。诊断为腰椎椎管狭窄并腰4/5椎体滑脱,入院后给予仔细查体及辅助检查。
经检查该患者L4椎体退变性滑脱诊断较为明确,且伴有严重的椎管狭窄症状。由腰椎X线动力位片示腰椎不稳,腰椎融合术为最佳治疗方案。结合病人病情、年龄及身体条件,经腰椎间盘治疗中心团队反复论证,认为采取微创镜下融合术为最佳方案。刘维克主任介绍原本需要开放才能完成的手术现在微创下完成,需要攻克2个难点:一是需要在脊柱内镜下给予充分的减压,二是在微创通道下处理椎间盘和终板,并安全的植入融合器。


在使用国际领先水平的镜下处理工具及器械的同时,结合我院已有的天玑骨科手术机器人、神经电生理检测设备辅助下,我院安全、成功的完成了这台复杂手术。





患者术后第3天带支具下床活动,症状基本消失,并行X线检查。见滑脱复位,且椎间隙高度恢复。


这台在多种高科技支撑下的微创融合的手术在全省尚属首例,此项技术的成功实施,标志着我院在脊柱微创专业已经迈入全国领先行列,使以前需要开放才能完成的手术,在微创下就能够完成,缩短了术后恢复时间,减轻了病人痛苦。滨州市中医医院将继续秉持“绿色、微创”的理念,为滨州健康事业贡献力量。
版权所有 © 滨州市中医医院 地址:山东省滨州市新立河西路917号 导诊咨询电话:0543-3374500 投诉电话:0543-3366640 24小时服务电话:0543-3366666 监督电话:0543-3361806 E-mail:lu372301@163.com
鲁ICP备10026845号 滨公备0601199