医院新闻
【化繁为简,精益求精】滨州市中医医院成功完成颈椎脊柱内镜前、后入路联合手术
2020年4月20日,滨州市中医医院椎间盘突出专科刘维克主任与其团队,为一位颈椎间盘突出伴脊髓病的患者,成功实施了颈椎脊柱内镜前、后入路联合手术。此次颈椎内镜前后路联合手术成为全省首例,同时也体现出我院对椎间盘突出、椎管狭窄症及脊髓压迫等病情的治疗领域的领先理念及技术。
病历介绍
56岁的闫先生因出现“颈后部酸胀、疼痛伴四肢麻木、乏力1年”,行走时双足似“踩棉花感”,应用筷子等精细操作完成困难,颈部后伸、咳嗽及打喷嚏时出现后背至足跟部“电击感”,走路时经常“打软腿”等症状,曾到其他医院就诊,建议行颈椎开放手术治疗。考虑到传统开放手术创伤大、风险高、恢复缓慢,内固定物的植入限制、丢失颈椎生理活动度等因素,闫先生又来到市中医医院椎间盘突出专科就诊。
刘维克主任经过询问病史、查体及全面的影像学检查后分析,认为患者存在颈椎C3/4椎间盘突出并伴有C3-5颈髓的脊髓变性的情况,结合患者目前病情压迫较重,制定了施行颈椎内镜前后路联合手术的方案。
最终,闫先生选择了在我院行脊柱内镜微创治疗,术中一切顺利。

术前MRI。
脊髓受压、变形。



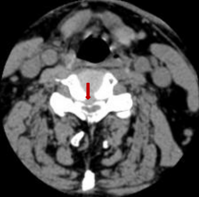
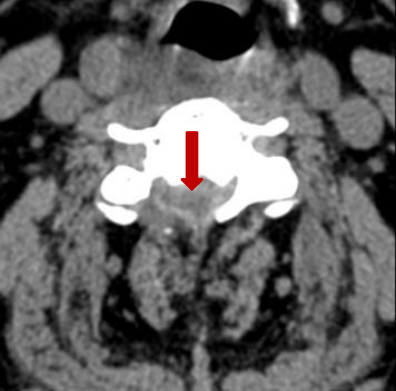
术前脊髓造影后颈椎CT。
颈椎间盘突出明显。
刘维克主任团队采取了局麻下内镜后路C4椎板和勾椎关节减压术,随后在全麻下内镜经颈前路椎间隙髓核摘除术,手术顺利完成。


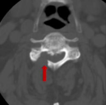
颈后路术术中套管定位



颈前路术术中套管定位
术后情况明显改善
术后闫先生症状明显改善,颈后部酸胀、疼痛伴四肢麻木、乏力明显减轻,颈部后伸、咳嗽及打喷嚏时,后背至足跟部“电击感”消失。
查体肌力肌张力良好,各个阳性体征均有改善。卧床休养1天后佩戴颈托下床活动,自觉上肢麻木、下肢无力麻木及灼热感等症状基本消失,行走情况良好。




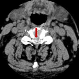
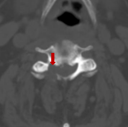
颈后路术后颈椎CT。
后入路术后见颈部椎管后方减压范围满意,骨性结构破坏小。



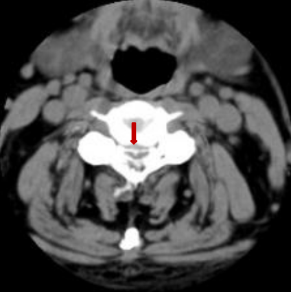
颈前路术后颈椎CT
前入路术后见颈椎间盘突出组织摘除完全。闫先生经住院治疗15天出院,治疗效果非常满意。
科 普
颈椎间盘突出症是椎间盘的纤维环破裂、变性的髓核脱出引起脊髓或脊髓神经根受压而引起的一系列综合征,突出物长期压迫脊髓、脊神经根,导致脊髓变性,当上述神经组织损伤后出现肢体疼痛、麻木、无力及行走不稳等功能减退之表现,病理征出现,二便功能障碍等等临床表现。
在传统脊柱外科领域,脊髓型颈椎病的治疗以颈前入路(如ACDF)和颈后路开门手术为主,在摘除椎间盘组织后或以人工椎间盘置入,椎间植骨融合或钉板系统的植入维系颈椎之稳定性。
传统手术创伤大、气管、食管及周围血管神经损伤风险高,术后需要较长时间的康复。
现在脊柱内镜手术的出现,在保证疗效的基础上,手术风险较小、气管、食管及周围血管神经损伤明显降低,颈椎骨性结构、韧带组织破坏小,对颈椎稳定性的影响已经降到最低。
此例手术的成功实施,展现了科室应用领先脊柱外科的理念,提高了对脊柱疾患的治疗能力,同时化繁为简,精益求精,为高位颈椎椎间盘突出、脊髓型颈椎病患者提供了脊柱微创手术治疗途径,进一步提升了市中医医院对高难手术病例的处置能力,深受患者好评。
版权所有 © 滨州市中医医院 地址:山东省滨州市新立河西路917号 导诊咨询电话:0543-3374500 投诉电话:0543-3366640 24小时服务电话:0543-3366666 监督电话:0543-3361806 E-mail:lu372301@163.com
鲁ICP备10026845号 滨公备0601199