网站首页
医院新闻
【先进技术】滨州市中医医院开启呼吸内科介入诊疗--无痛气管镜检查技术
传承精华 守正创新
中西并重 守护健康
随着呼吸与危重症医学科的不断进步及发展,呼吸内镜技术的地位越来越重要,但是呼吸内镜检查过程中给患者带来痛苦,让患者谈镜色变。
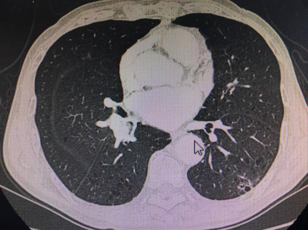
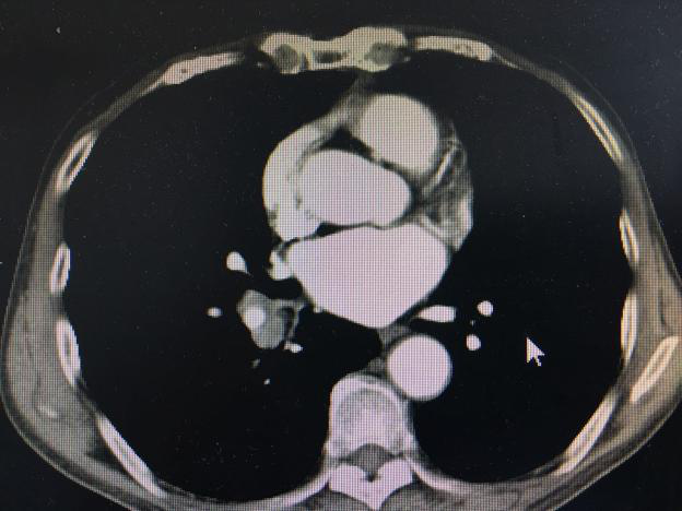
王大爷今年近80岁,因病住院,住院后行胸部强化CT提示右肺门占位:(见下图)


因病变部位靠近肺门,外周穿刺气胸、出血风险均较大,气管镜检查是最合适检查诊断方案,患者体质差,气管镜检查过程风险大,同时患者抵抗情绪严重,拒绝检查,不能取到病理,无法进行下一步治疗,家属焦急万分。肺病贾在金主任、于得海主任、麻醉手术科杜妍主任及科室医务人员联合进行讨论。

最终决定给患者行全麻下无痛气管镜检查,2021年11月22日张海勇主治医师、于得海副主任医师在麻醉手术科杜主任团队大力支持和密切配合下,病人在全麻下顺利完成了气管镜检查。


术后患者无痛苦,感觉良好。
近年来,随着医学高速发展,滨州市中医医院顺应时代发展潮流,大力推进中医事业发展。同时,积极开展新技术新项目,其中无痛气管镜检查填补了医院该项技术空白,在造福患者道路上乘风破浪。
版权所有 © 滨州市中医医院 地址:山东省滨州市新立河西路917号 导诊咨询电话:0543-3374500 投诉电话:0543-3366640 24小时服务电话:0543-3366666 监督电话:0543-3361806 E-mail:lu372301@163.com
鲁ICP备10026845号 滨公备0601199