医院新闻
【先进技术】滨州市中医院成功完成脊髓型颈椎病后路多节段椎板切除侧块螺钉内固定手术
近日,滨州市中医医院椎间盘突出专科刘维克主任与其团队,为一位脊髓型颈椎病患者成功实施颈后路多节段椎板切除减压并侧块螺钉内固定术,术中顺利,术后患者取得非常满意的疗效,填补了我院在多节段脊髓型颈椎病治疗上的短板。
患者冯先生,因出现“双上肢疼痛麻木伴行走不稳8年,加重1个月。”四肢乏力,行走不稳,双足似踩棉感,双手精细动作(如用筷子及系扣子等)难以完成,经多方保守治疗后,症状未见缓解,严重影响了患者生活质量,遂来到市中医医院椎间盘突出专科就诊。
刘维克主任及其团队经过仔细询问病史、查体及全面的影像学检查后分析,患者存在C3/4、C4/5、C5/6三个节段椎间盘突出、后纵韧带骨化、椎体增生骨赘及黄韧带肥厚压迫硬膜囊及脊髓致使C3-6椎管狭窄同时伴有颈髓变性。患者临床症状体征较重,并有持续加重趋势,建议立即行手术减压治疗。考虑到脊柱内镜微创手术难以有效地解决多节段骨性压迫,制定了采取颈椎后路多节段椎板切除侧块螺钉内固定的手术方案。



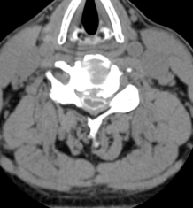
术前脊髓造影后CT,明显可见脊髓压迫


充分与患者及其家属沟通同意后,于11月13日在手术室及麻醉科共同协助下成功完成手术,术中出血量少,术后疼痛可耐受。
术后第三天病人可下床行走,自觉行走不稳及双手精细动作较术前明显改善,查体见四肢肌力、肌张力、胸腹部束带感及各病理阳性体征均有改善。术后复查影像满意,住院15天后,效果满意,顺利出院。





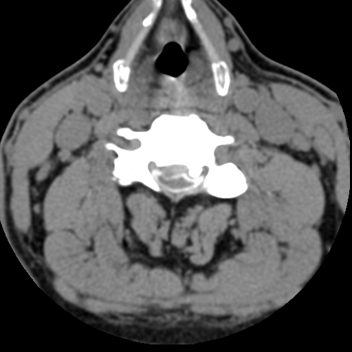
术后CT见减压充分,螺钉位置良好
随着社会工作生活方式的变化,脊髓型颈椎病发病率逐年上升,保守治疗效果不令人满意。脊髓型颈椎病是颈椎病中最严重的一种类型,是指在颈椎退行性变基础上,增生的骨赘、韧带的骨化及脱水萎缩变性的椎间盘压迫相应硬膜囊及脊髓,产生导致脊髓受压损伤平面以下肢体的感觉、运动功能缺失、大小便障碍、疼痛及性能力等五大功能障碍的综合征。临床初期症状常见颈部肩部疼痛不适、四肢麻木无力、行走不稳伴踩棉感等,并呈现出进行性加重的趋势,甚至出现截瘫。根据脊髓型颈椎病的自然病史, 神经损坏的进程可通过手术干预而停止。但是,一旦脊髓损伤达到不可逆程度,即使去除压迫,脊髓功能也不会得到改善或恢复。
需要强调的是, 很多患者起病后临床症状或体征并不是短时间就恶化达到不可逆的程度。大部分患者病史的发展是一个逐步恶化的过程。故一旦确诊脊髓型颈椎病,如通过一段时间的严格保守治疗,患者症状和体征仍得不到有效改善就应尽早手术干预,避免长时间观察。
而在手术方案的选择上,脊柱内镜微创手术,适合单节段压迫,对于多节段同时压迫脊髓,存在减压不彻底、需多次手术和继发颈椎失稳等缺点;而颈后路椎板切除侧块螺钉内固定的术式解决了上述短板,同时螺钉固定牢靠,技术成熟度较高,临床上被广泛应用。
该手术的成功实施,弥补了我院在多节段脊髓型颈椎病治疗上的短板,进一步提升了市中医院对高难度手术的处置能力,深受患者好评。滨州市中医医院椎间盘突出专科,继续秉承“精益求精、追求卓越”的信念,为滨州健康事业贡献自己的力量。
来源|椎间盘突出专科
版权所有 © 滨州市中医医院 地址:山东省滨州市新立河西路917号 导诊咨询电话:0543-3374500 投诉电话:0543-3366640 24小时服务电话:0543-3366666 监督电话:0543-3361806 E-mail:lu372301@163.com
鲁ICP备10026845号 滨公备0601199