医院新闻
精湛技术 | 新突破!心脑病科成功实施一例全脑血管造影术
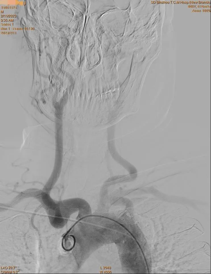
近日,滨州市中医医院(滨州医学院附属中医医院)心脑病科团队成功为一名46岁男性脑血管病患者实施全脑血管造影术,为其明确诊断,并采取相应治疗措施,受到患者高度好评。

家住滨城区的唐先生因“反复头晕1月余”入院,经我院“眩晕中心”专家联合会诊,初步确定病因是椎动脉卡压。为明确诊断,避免盲目治疗,夏乐医生为患者实施脑血管造影术检查,术中清晰了解到颅内血管情况,最终明确了唐先生的诊断,给后续的的治疗指引了方向。


脑血管造影术被誉为诊断脑血管疾病的“金标准”,近年来广泛应用于临床。局部麻醉后在导丝引导下经股动脉引入细小的造影导管,将碘影剂注入目标血管,使脑血管显影,从而了解脑血管本身的形态和病变,以及病变的性质和范围。
对于缺血性脑卒中患者,脑血管造影可以清楚地显示动脉管腔狭窄、闭塞、侧支循环建立情况等;对于脑出血患者,可进一步查明导致出血的病因,如动脉瘤、血管畸形、海绵状血管瘤等。因此,脑血管造影不但能提供病变的确切部位,而且对病变的范围及严重程度亦可清楚地了解,为手术提供较可靠的客观依据。

脑血管造影适应症包括:脑梗死、短暂性脑缺血发作(TIA)、脑出血或蛛网膜下腔出血、无创检查提示颈动脉狭窄、晕厥(可能为脑血管疾病所致)、眩晕(可能为后循缺血)、临床怀疑动脉瘤、血管性疾病治疗后康复、临床可疑静脉窦炎性或非炎性血栓等。
滨州市中医医院心脑病科贾在金教授医护团队,本着中西医结合的治疗理念,为广大心、脑疾病患者提供专业、负责、全面的医疗服务。
0543-3090310
15169911915
版权所有 © 滨州市中医医院 地址:山东省滨州市新立河西路917号 导诊咨询电话:0543-3374500 投诉电话:0543-3366640 24小时服务电话:0543-3366666 监督电话:0543-3361806 E-mail:lu372301@163.com
鲁ICP备10026845号 滨公备0601199