医院新闻
新院区 新发展 |(十六)医学影像科 —— 临床诊断之眼,疾病筛查利器
在滨州市中医医院(滨州医学院附属中医医院)中,除了各具中医特色的临床科室外,还有着运用专门诊疗技术和设备、协助临床科室诊断和治疗疾病的医疗技术科室,其中医学影像科就是医技辅助科室中较为重要的科室之一。

医学影像科前身为放射科与核磁室合并而成立的重要医技科室,自新院区搬迁以来,现引进德国西门子高档双源CT(SOMATOM Drive)一台、德国西门子1.5T磁共振一台、联影高档直接数字化X线摄影(DR)一台。

西门子双源CT

西门子1.5T磁共振

联影DR
SOMATOM Drive光子双源CT是西门子双源CT中的高档机器,在继承了前三代双源CT的各项先进技术的基础上,创新性地在精准影像、安全影像和智能影像方面进行了变革,引领CT发展的新纪元。Drive CT具有快速、精准、安全的特点,在心脏冠脉检查、肿瘤筛查、超低剂量体检、低对比剂应用和大范围血管检查等方面具有显著优势。

该设备具备强大的后处理工作站,可以自动预处理各类图像,还具有常规及标准高级三维后处理及三维阅片功能,使得图像扫描、技术处理等更加快捷、高效,同时也为诊断和临床医生提供了极大的方便。
医学影像科在李涛、王鹏两位主任的积极领导下,先后开展全身各部位、多部位联合扫描及强化,CT增强扫描开展了冠状动脉CTA、肺动脉CTA、头颈部血管CTA、胸腹主动脉CTA、下肢动脉CTA等多项新技术、新项目。

在开展新技术新项目不久后,便有多个科室及病源需求,李涛主任积极联系各临床科室,了解影像检查需求,王鹏主任积极协调科室新技术新项目工作。近日,医学影像科开展首例冠状动脉造影CT检查时,令科室医技人员记忆犹新的是这位心率高且不稳定的患者,担心心率问题会影响检查,但是当他得知用双源CT进行检查,就算在心率不齐情况下也不会影响图像及诊断时,悬着的心终于放下了。护士长王姗姗为病人穿刺静脉留置针并安装连接高压注射器后,耐心嘱咐病人,平抚病人的情绪。

影像技师冀谋为病人摆好体位,为病人家属穿好铅衣,并嘱咐病人检查过程中的各项注意事项。

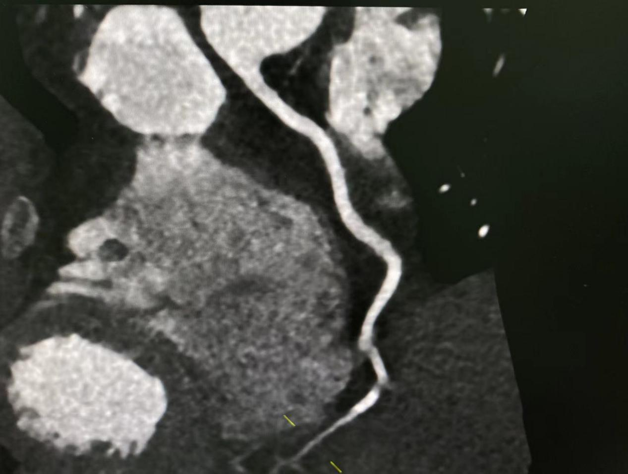
影像技师张锐准确的选择好扫描条件,计算好造影剂剂量、注射速率等方案后进行规范扫描,扫描完成,各支血管显示清晰,完成处理后传输到报告系统。

VR

冠脉树

MIP

MPR

完成检查后,两位主任对图像、报告进行综合评价及审核。各项流程顺利,项目开展完好,填补我院血管强化检查领域空白,为我院医学影像发展开启了新的篇章!

医学影像科现拥有专业技术人才21人,其中诊断医师10人,影像技师9人,护理2人,人才梯队合理,技术力量雄厚,医学影像科全体成员将以全新面貌、借助新院区良好的环境、高端的设备,促进科室进一步发展,为病患提供更高质量的医疗服务,为医院更加辉煌的明天贡献影像人的力量!
版权所有 © 滨州市中医医院 地址:山东省滨州市新立河西路917号 导诊咨询电话:0543-3374500 投诉电话:0543-3366640 24小时服务电话:0543-3366666 监督电话:0543-3361806 E-mail:lu372301@163.com
鲁ICP备10026845号 滨公备0601199